Smile Gallery
Our Patients’ Smile Transformations
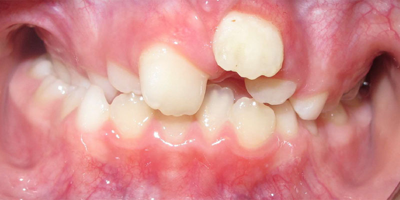
This smile gallery features just a few examples of the smile transformations that have come from our office. Use the slider to see the changes from the beginning to the end of treatment.
Orthodontist Near You
MH Orthodontics
6000 Singleton Rd, Suite 315
Norcross, GA 30093
Phone:
(470) 336-2189
Hours
Monday: 8:00 AM - 4:00 PM
Tuesday: 8:00 AM - 4:00 PM
Wednesday: 8:00 AM - 4:00 PM
Thursday: 8:00 AM - 4:00 PM
Friday: 8:00 AM - 2:00 PM
Saturday: Closed
Sunday: Closed










